四川省健康四川促进会欢迎您!
网站支持IPv6
您当前的位置: 首页 > 健康四川 > 市州动态 >

技术再突破!遂宁市中心医院开展Tubeless“微创”手术,纵隔肿瘤患者48小时出院

阅读量:325
【发布日期:2025-10-16 】
【来源:省卫生健康委

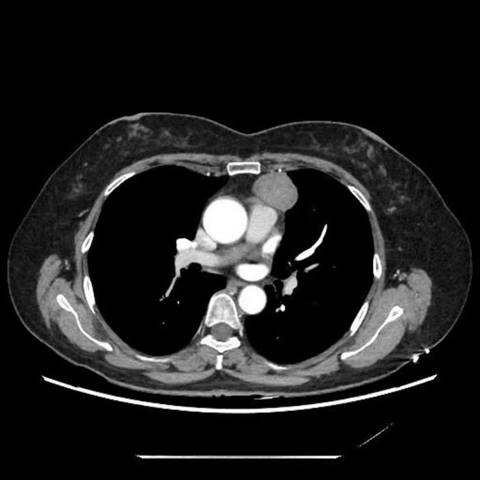
近日,遂宁市中心医院胸外科周海宁团队与麻醉科紧密协作,成功开展一例“非气管插管麻醉(Tubeless)下经皮天平拉钩辅助胸腔镜经剑突下前纵隔肿物切除术”。该技术的成功实施,标志着医院在纵隔疾病微创治疗领域取得新突破,为患者提供了更加安全、高效和舒适的手术选择。

患者为一名43岁女性教师,因体检发现纵隔肿物5个月入院。出于对术后可能影响发声、耽误教学工作的顾虑,患者一度不愿接受手术。传统胸腔镜手术虽属微创,但仍存在器械干扰、视野局限等操作难点。本次采用的“Tubeless麻醉+经皮天平拉钩”技术体系,有效解决了上述问题,实现了更优的手术显露与更小的生理干扰。

该项创新技术通过特殊设计的“天平拉钩”装置均匀分散牵拉力,稳定抬升胸骨,为术区提供清晰、开阔的手术视野,从而精准完整切除病变组织,并且还避免了传统牵拉方式对胸骨的损伤。结合Tubeless麻醉技术,术中不再需要气管插管,减轻了术后咽喉不适和呼吸道并发症风险。手术仅通过剑突下约3–4厘米小切口完成,无需留置胸腔引流管及导尿管,显著减轻了术后疼痛,加速患者康复。整台手术历时约1小时,出血量少,患者术后疼痛轻微,可早期下床活动,并于术后48小时顺利出院。

此次手术的成功开展,充分体现了遂宁市中心医院多学科协作(MDT)的优势与胸外科微创技术的创新水平。胸外科主任周海宁表示,该技术以“经皮悬吊”取代传统“经胸骨牵拉”,从根本上避免了胸骨损伤与拉钩滑脱风险,同时简化了手术流程、缩短了时间,今后团队将继续拓展该技术的应用,为更多纵隔疾病患者提供创伤更小、恢复更快、疗效更优的诊疗服务。

主办:四川省健康四川促进会 地址:成都市锦江区书院街道永兴巷15号 邮编:610041 电话:028-86621509(综合部)028-86629981(会员工作部)
蜀ICP备2024116455号 - 四川省健康四川促进会 版权所有 -